热烈祝贺我院成功
晋升二级骨科专科医院
×
欢迎进入安阳黄塔骨科网站!
这是安阳黄塔骨科的LOGO 这是安阳黄塔骨科的联系电话
联系我们 /SITUATION

安阳黄塔骨科医院

联系人:明院长  电话:13937274222   联系电话: 0372-3667120

地址:人民公园东门向南100米路西   
地址:安阳市东工路与紫薇大道交叉口向北200米路西
版权所有:安阳黄塔骨科医院

髌骨软化*解析—— 从影像学表现到诊断治疗

髌骨是人体*的籽骨,位于股骨下端前面。髌骨具有保护膝关节,维持膝关节的稳定性的功能。髌骨软化症(CP),又称髌骨软骨软化症、髌骨软骨炎,是膝关节常见病,好发于青壮年,在运动员和体育爱好者中尤其多见,女性发病率较男性高。其主要病理变化是软骨的退行性改变,包括软骨肿胀、碎裂、脱落,*后股骨髁的对应部位也发生同样病变,发展为髌股关节骨性关节炎。



膝关节


股骨远端、胫骨近端、髌骨,是构成膝关节主要的骨组织。其中,股骨和胫骨构成一个关节面,而股骨和髌骨构成一个关节面(髌股关节)。正常情况下,膝关节在弯曲运动时,髌骨是在股骨的凹槽(股骨滑车)里上下移动。




如果把膝关节腔比作成一个房间,那髌骨软骨类似于我们房间的墙皮。而髌骨软化,就好比是房间被水浸泡过后,墙皮发生变软,剥脱,龟裂。与髌骨相对应的股骨软骨面也会发生相应的磨损。



  (图中白色部分为髌骨的软骨,发黄的部分是软骨剥脱区域)







髌 骨


1.髌骨的解剖

  • 全身*的籽骨 

  • 上*与股四头肌相连

  • 下*由髌韧带固定于胫骨结节

  • 7个关节面 

  • 仅下1/4为非关节面部分 

  • 伸膝装置的支点 

处于皮下,只有皮肤、很薄的皮下组织和髌前滑囊覆盖,易受直接暴力撞击。

髌骨的关节面与股骨的内外髁相互形成关节,膝关节屈伸时,髌骨在股骨内外髁之间滑动。髌骨不*助于保护膝关节,还通过减少移动膝盖所需的力量,帮助四头肌更有效地工作。


2.髌骨的生物力学功能

  • 髌骨的力学作用是机械性地使股四头肌通过髌韧带对胫骨施加作用力,以改变其作用方向。

  • 加大了伸膝装置的力臂,使伸膝的*力量增加约30* 

  • 髌骨承受复合载荷,包括牵张力、弯曲力和压缩力 

  • 在屈膝40°到60°时,髌骨承受*的张力 

  • 上楼梯:3.3倍体重

下蹲:7.6倍体重



3.生物学机制:

Kaufer指出其主要表现在两方面: 

  • 首先它作为伸膝装置的中间结构,将股四头肌产生的拉力传向髌腱; 

  • 其次它有效的增加了伸膝装置对于膝关节屈伸轴点的杠杆力臂,从而增大了股四头肌的力矩,加强其机械效益。髌骨为膝关节提供了伸膝装置的弯矩作用力臂, 增大了股四头肌的作用力矩。

当膝关节伸直时,髌骨受到来自股四头肌的轴向拉力和髌腱的反向作用力,受力为张应力。

当膝关节处于屈曲位时,,髌骨关节面与股骨关节接触,髌骨受多个方向力的作用,,除了前方的轴向拉力外,,还有来自后方与股骨髁相抵的压力, 此时受力为压应力,髌骨关节呈三点受力。 

三点受力导致髌骨前方产生为张力,同时被股四头肌的收缩而加强。 





髌骨软化症


又称髌骨软骨软化症、髌骨软骨炎,是膝关节常见病,好发于青壮年,在运动员和体育爱好者中尤其多见,女性发病率较男性高。其主要病理变化是软骨的退行性改变,包括软骨肿胀、碎裂、脱落,*后股骨髁的对应部位也发生同样病变,发展为髌股关节骨性关节炎。


髌骨是全身*的籽骨,上*与股四头肌相连,下*由髌韧带固定于胫骨结节。髌骨的关节面与股骨的内外髁相互形成髌股关节,膝关节屈伸时,髌骨在股骨内外髁间(即滑车)呈S形滑动。






病因

先天性髌骨、股骨发育异常,或后天膝关节内翻等畸形导致膝关节不稳定,在髌骨滑动过程中髌骨关节面应力集中于某个点,成为慢性损伤的基础。



膝关节长期磨损、创伤,是本病的常见原因。



髌骨软骨的营养主要来自关节液,各种原因所致的滑液成分异常均可使髌骨软骨的营养不良,以致轻微外力而产生退变。




病理分级

关节镜下可将髌骨软化分为5级:


0级:正常关节软骨



Ⅰ级:关节软骨失去珍珠样外观而变得较暗淡,局部软化,肿胀区或纤毛化区的直径<0.5cm。



Ⅱ级:关节软骨软化区内出现毛刷状或纤毛化改变,深达1~2mm,直径≤1.3cm。




Ⅲ级:软骨的毛刷状或纤毛化改变达关节软骨厚度一半以上,直径>1.3cm,关节软骨表面类似蟹肉样改变,表面有多发软骨碎片附着其下的软骨。



Ⅳ级:关节软骨全层受侵,软骨下骨暴露,表现为进展期髌股关节炎。




Ⅰ~Ⅱ级为早期,主要保守治疗。

Ⅲ~Ⅳ级为进展期,需手术及关节镜治疗。





临床表现
  • 多发生于青壮年,且多有明显外伤史,或有慢性积累性小损伤,主要症状是膝关节髌骨后疼痛,轻重不一,一般平地走路症状不显,在下蹲起立、上下楼,或走远路后疼痛加重;

  • 髌骨缘压痛,推动髌骨有摩擦或伴疼痛,抗阻力试验(+),后期继发滑膜炎时可有关节积液,病程长者有股四头肌萎缩;

  • 单腿下蹲试验:患者单腿持重,逐渐下蹲到90°~135°时出现疼痛,发软,蹲下后单腿不能起立。






影像学检查


X线片:膝关节正、侧位及髌骨切线位

早期无异常;晚期可因软骨大部磨损,髌骨与股骨髁部间隙变窄、毛糙,关节对合不良,髌骨和股骨髁部边缘可有骨质增生。



  • X线检查:髌骨切线位ⅹ线片对诊断髌趿排列乱及股骨髁发育不良具有十分重要的诊断价值,是髌骨软化症病因诊断常用方法。


  • CT检查:对诊断髌股排列错乱及股骨髁发育不良有诊断价值,可作为X线片诊断的补充手段。其优点是能显示髌骨关节面病变及髌股关节间隙狭窄更清楚,也可以显示部分髌骨软骨病变。


  • MRI检查:对髌骨软化症有较大的诊断价值,能够很好的显示关节积液、软骨退变及软骨下骨的囊性变等表现。


  • 关节镜:是髌骨软化症确诊与治疗的有效手段之一,可以在镜下直接观察软骨面的变化,但不能够观察到软骨下骨的变化


X线:早期X线表现可无异常,晚期可见骨赘形成,髌股关节间隙狭窄、毛糙、关节对合不良。


膝关节屈曲20度摄髌股关节轴位片,观察股骨内外侧髁前面切线与髌骨外侧关节面切线的交角,即外侧髌股角Laurin角),正常应开向外侧,而异常的开向内侧。即髌骨外翻外移。



MR|判断髌骨软骨软化是以软骨内信号改变和软骨表面形态来诊断。病变可使髌骨软骨轮廓不同程度发生改变,表面毛糙,内部信号异常。



MRI表现局灶性低信号,T1T2加权像轻度轮廓改变,厚度变薄,软骨下有硬化的囊变





临床表现


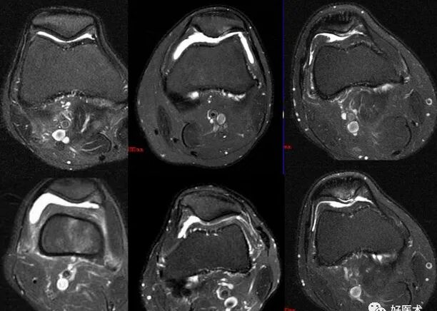
髌骨软骨软化症MRI表现:

0级:

A:SE序列T1加权像

B:SE序列T2加权像

C:STIR像

D:PGE序列T1加权像


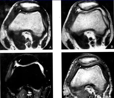
Ⅰ级:

A:SE序列T1加权像

B:SE序列T2加权像

C:STIR像

D:PGE序列T1加权像


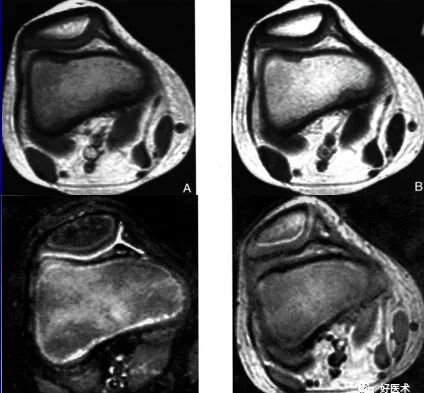
Ⅱ级:

A:SE序列T1加权像

B:SE序列T2加权像

C:STIR像

D:PGE序列T1加权像


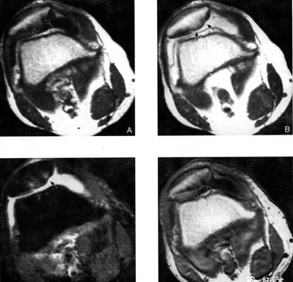
Ⅲ级:

A:SE序列T1加权像

B:SE序列T2加权像

C:STIR像

D:PGE序列T1加权像


Ⅳ级:

A:SE序列T1加权像

B:SE序列T2加权像

C:STIR像

D:PGE序列T1加权像


放射性核素骨显像检查,可显示局限性放射性浓聚。






治 疗


1.非手术治疗

①制动膝关节,进行股四头肌抗阻力锻炼。

②口服氨糖美辛片,含有氨基葡萄糖,有助于软骨中蛋白粘多糖的合成,口服0.2~0.4 Bid,既可止痛,又有利软骨修复。

③关节内注射玻璃酸钠,可增加关节液的粘稠性和润滑功能,保护软骨,又促进软骨的再生和愈合。2ml/周/次 5周一疗程。

注:关节内注射醋酸泼尼松虽可缓解症状,但由于抑制粘蛋白、胶原的合成,对软骨修愈不利,不推荐使用。


2.手术治疗

  严格非手术治疗无效,或有先天畸形者可手术治疗:

①外侧关节囊松解,股骨外髁垫高以增加髌股关节的稳定性。

②髌骨抬高(悬吊术),于胫骨结节处植骨,抬高,减少髌骨对股骨滑车的压力。

③同种异体软骨移植:用于孤立性关节软骨缺损或剥脱性骨软骨炎。

④关节镜手术


关节清理术:

A.软骨下骨钻孔:旨在从骨髓中获得多潜能的骨髓干细胞及生长因子以促进软骨细胞的分化和软骨缺损的修复。


B.被动关节活动(CPM):CPM作为一种促进软骨愈合的辅助手段已被普遍接受,但缺损范围大于3cm直径时效果不明显。







医院简介

安阳黄塔骨科医院是一所以治疗骨伤骨病为特色的专科医院,由滑县黄塔骨科医院于2000年在安阳组建,是城镇职工、城镇居民、新农合医保定点医院,2011年12月经河南省人民政府批准,“明氏正骨膏药”被列入河南省非物质文化遗产保护名录,院长明朝庆、明朝敬被授予“河南省非物质文化遗产传承人”。我院是洛阳正骨医院联盟单位和郑州市骨科医院医联体医院。
本院设有骨科、中医骨伤科、脊柱关节科、针灸推拿科、中西医结合科、外科、内科、麻醉科、口腔科、妇科、医学检验科、医学影像科等,配有飞利浦螺旋CT、中医亚健康筛查CT、数字悬挂式DR、移动DR、C型臂、彩超、骨密度检测仪、骨折治疗仪、微波治疗仪、中医定向治疗仪、关节镜、双套椎间孔镜等先进的诊疗设备,完善的临床检验设施,集*空调、*供氧、*负压吸引、*呼叫为一体的现代化、标准化、宾馆式病房,标准的层流净化手术室等高端设施。原北京306医院骨科主任马华松教授,原北京301医院骨科主任吴闻文教授,河南省骨科医院孙永强教授等全国著名骨科专家学者定期来院坐诊并手术。医院将以大专科小综合立足于豫北、面向全国,努力打造治疗骨伤骨病特色的专科品牌医院。




医院地址


安阳市东工路与紫薇大道交叉口向北200米路西(人民公园东门向南100米路西)

电    话:0372--3667120 /3159120

明院长:15503720622

公交路线:19路到安阳市人民公园东门临时站下车,向南150米路西

1路/11路/25路/到郭家街站下车向东100米左转200米路西


文本编辑:安阳黄塔骨科
安阳黄塔骨科医院
联系人:明院长  电话:13937274222   联系电话: 0372-3667120
地址:人民公园东门向南100米路西   
地址:安阳市东工路与紫薇大道交叉口向北200米路西

备案号:豫ICP备19004172号-2