热烈祝贺我院成功
晋升二级骨科专科医院
×
欢迎进入安阳黄塔骨科网站!
这是安阳黄塔骨科的LOGO 这是安阳黄塔骨科的联系电话
联系我们 /SITUATION

安阳黄塔骨科医院

联系人:明院长  电话:13937274222   联系电话: 0372-3667120

地址:人民公园东门向南100米路西   
地址:安阳市东工路与紫薇大道交叉口向北200米路西
版权所有:安阳黄塔骨科医院

12种髋关节病变的影像鉴别诊断

mp35594093_1444805100822_2.jpeg






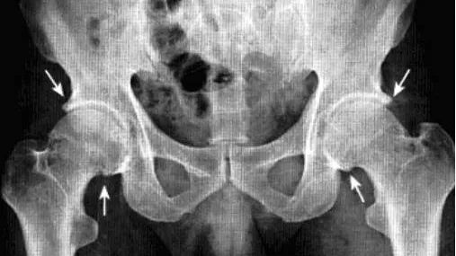
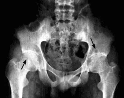
髋关节暂时性滑膜炎


又称髋关节一过性滑膜炎,是一种无确定病理性改变可自愈的非特异性炎症,是儿童常见的髋关节疾病。可能与病毒感染、创伤、细菌感染及变态反应有关。


病理:可有滑膜的轻度非特异性炎症。


临床表现:


好发于4-10岁儿童,男性多于女性,大多单侧发病,急性起病,突发髋关节疼痛,患者跛行,髋关节前方肿胀疼痛、内旋、外旋及伸直受限,Thomas征阳性。实验室检查:血沉加快,白细胞正常,细菌培养阴性。病程:轻者数日恢复,重者可持续1个月以上,一般多在1周左右愈合。


影像诊断:


1、平片:多无阳性发现,可见髋关节囊软组织阴影增厚,关节间隙正常或稍增宽。


2、CT:髋关节间隙增宽,以内侧间隙明显,关节内可见液性低密度积液影,关节骨质未见明显破坏征象。


3、MRI:髂关节积液,关节囊肿胀,无股骨头及髋臼破坏征象。(本病诊断*检查手段。)




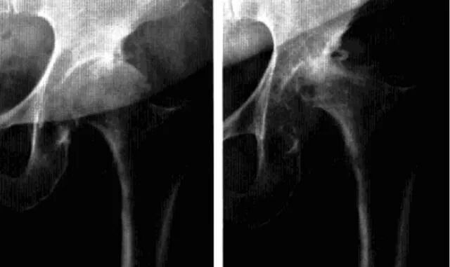
髋关节一过性骨质疏松


又称髋关节暂时性骨质疏松、暂时性骨髓水肿综合征,是一种病因不明、发病率低的自限性疾病。临床以无外伤史的疼痛为特征并在6-12个月内完全好转为其诊断标准。


病理:骨髓脂肪坏死、骨吸收、骨髓组织周围水肿样变化和轻度纤维化,常伴血管性充血或间质性出血,以及滑膜炎表现,有时可见软骨下骨折,伴有骨痂和肉芽组织,但无骨坏死表现。


临床表现:好发于中年男性或怀孕3个月左右女性,单侧或双侧均可发病,主要症状为无任何诱因出现髋部剧烈疼痛,呈渐进性并放射至膝关节,伴髋关节活动不利、跛行,疼痛加重约在发病后4-8周,并持续一段时间,之后疼痛逐渐减轻至消失,病程约6-12个月,髋部肌肉及股四头肌呈失用性萎缩。实验室检查阴性。


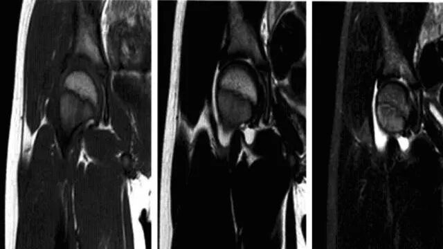
影像诊断:平片及MRI是本病主要诊断手段。


1、平片:活动期表现骨质疏松,股骨头和转子间弥漫性骨密度减低,股骨头软骨下骨皮质吸收,髋臼受累程度轻,无骨侵蚀或破坏,关节间隙保持正常。


2、MRI:骨头至转子间在T1WI低信号,T2WI及脂肪抑制呈均匀一致高信号,无局灶性改变,多伴髋关节积液,周围肌肉层次清晰,随访多于6-10个月内恢复正常,无后遗症。




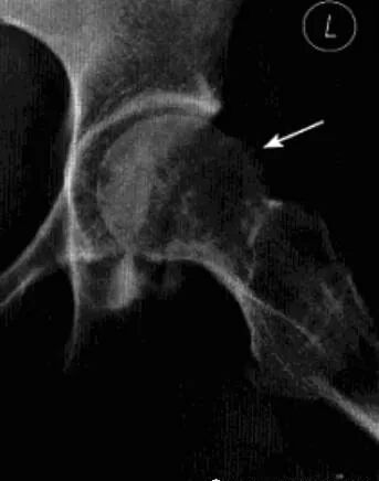
髋关节退行性骨关节病


又称髋关节骨性关节炎,是以髋关节软骨退变和其边缘骨质增生为特征的非炎症性疾病,可继发于其它疾病。


病理:髋关节软骨的退行性变,尤以承重部为著。关节软骨逐渐消失,骨端部硬化、骨赘形成,骨质疏松,关节面囊性变,晚期关节内游离体,关节间隙狭窄。


临床表现:多在50岁后,女性多于男性,起病隐匿,缓慢渐进性发展,关节痛疼,承重时酸胀加重,休息后缓解。


影像诊断:


1、X线:早期髋臼上缘密度增高,股骨头凹边缘微小骨赘形成,继续发展可见较大骨赘,关节间隙上外侧非对称性狭窄,关节面边缘骨质增厚、关节面下假囊肿形成,重者出现股骨头半脱位,关节一般无骨质疏松,软组织无明显萎缩。(首选检查


2、CT:髋臼前后唇、股骨头及髋臼窝边缘骨质增生,骨性关节面不规则硬化,关节间隙狭窄,承重面下出现假囊肿,关节腔可见积液及游离体。


3、MRI:早期软骨内显示条状或不规则信号带,软骨局部变薄,表面不光整;继而外缘出现骨质增生,关节面软骨下出现骨硬化带;进一步发展出现软骨下假囊肿,关节腔游离体,关节腔狭窄,甚或半脱位。




髋关节创伤性关节炎


由于髋关节创伤所致的继发性关节炎。可因机械外力的直接作用或髋关节不正常负重所致。


病理:急性期关节出血渗液、关节肿胀,液体痊愈后可不留痕迹,但关节内的粘连、滑膜肥厚、软骨损伤、关节内骨折的骨痂长入或关节内异物等,均可引起与退行性关节病相似的继发改变,关节周围韧带损伤可以纤维化或钙化。


临床表现:有髋关节骨折脱位病史,髋关节活动疼痛及受限。


影像诊断:X线平片为主要检查方法,CT可发现更细微改变。


1、平片:急性期髋关节囊肿胀、关节间隙增宽,撕脱性骨折,随着继发性退行性骨关节病的发生,出现关节软骨下硬化、囊变、关节间隙狭窄、骨赘增生,关节腔可见游离体,髋关节常合并陈旧性骨折痕迹。


2、CT:急性期关节积液、周围软组织肿胀,关节间隙增宽,可合并骨折,继发性退行性骨关节病可出现髋关节间隙变窄,骨性关节面毛糙,边缘骨质增生,游离体,关节囊及周围软组织钙化或骨化影。


3、MRI:早期关节腔积液、韧带损伤、关节软骨骨折,关节软骨下骨挫伤、骨折,继发性退行性骨关节病出现关节间隙狭窄,关节面边缘骨质增生,游离体形成等。




类风湿性髋关节炎


是一种病因未明的全身性慢性炎性疾病,可累及全身各关节,多为多侧。有慢性倾向,自发性发作和缓解为其特点。典型表现为反复发作的髋关节或其它部位关节炎症状,*终导致髋关节破坏和畸形。


病理:初期滑膜充血、水肿、增厚,关节渗出液增多,滑膜逐渐增厚,形成血管翳,侵入软骨和骨表面,炎症细胞增生反应,加重软骨破坏,关节纤维素性渗出、吸收后形成纤维强直,关节囊纤维化、韧带松驰、肌肉痉挛和萎缩,关节畸形。


临床表现:青壮年女性多见,隐性起病,先有乏力、低热等前驱症状,后出现多个关节肿痛,多为小关节受侵。晚期关节僵硬和畸形。实验室检查:血沉加快,RA因子及CRF阳性。


影像诊断:X线平片是诊断重要手段,MRI在早期诊断和观察病变活动性方面有很高价值。


1、平片:早期髋关节囊肿胀,关节间隙增宽,邻近骨质疏松;随着关节软骨的退行性变和破坏,髋关节间隙逐渐变窄,以*部较明显,同时软骨下骨质硬化,以髋臼上方明显,负重区软骨下囊变;晚期股骨头变扁,但无死骨出现,也不发生塌陷,可伴髋关节半脱位,关节强直。


2、CT:与平片相同,晚期周围肌肉萎缩,关节屈曲变形、强直。


3、MRI:早期关节积液及炎性滑膜增生,增强可见血管翳,软骨破坏、软骨下囊变。




强直性脊柱炎累及髋关节


系累及中轴骨及近端大关节的血清阴性脊柱关节病。病变对称侵及骶髂关节、椎间小关节、附件韧带和近躯干的大关节,*后导致纤维性或骨性强直和畸形。髋关节是本病*常累及的关节,约占50*。


病理:表现为滑膜充血、水肿、渗出和肉芽组织增生,富含血管翳的肉芽组织向关节内延伸,由关节边缘部无软骨覆盖区开始破坏软骨及软骨下骨质,并导致纤维强直,纤维软骨化生和软骨内化骨导致骨肥大。


临床表现:多见30岁以下男性,早期下背部酸痛和僵硬不适,逐渐沿脊柱向上发展,*后出现畸形和强直。90*患者HLA-B27抗原阳性,血沉加快。


影像诊断:X线片为主要检查手段,MRI能显示早期髋关节改变。


1、平片:双侧对称受累,早期骨质疏松,关节囊膨隆,股骨头及髋臼骨质侵蚀糜烂;中期关节间隙一致性狭窄,软骨下囊性变,关节面边缘骨质增生,坐骨结节、坐骨耻骨支及股骨大转子可伴骨膜炎;晚期股骨头内移、髋臼内突,关节腔闭锁呈骨性强直。


2、CT:早期少量关节腔积液,可伴髂腰肌囊扩张,同时股骨头骨质疏松,股骨头及髋臼缘囊状、虫蚀状骨质缺损;中期关节面边缘硬化、囊变、骨赘形成,股骨头基底滑膜附着处增生,髋关节间隙均匀一致性狭窄消失,双侧髋对称性骨性强直,股骨头及髋臼可普遍性肥大。


3、MRI:①关节积液,关节间隙增宽,②滑膜增厚,增强后明显强化,③关节软骨水肿,④关节面软骨信号改变,炎性血管翳增生,信号强度不均,⑤软骨下囊性变,⑥关节骨性强直。




Charcot髋关节病


Charcot髋关节病,是在中枢性或周围神经性疾病所致的髋关节深部感觉障碍基础上,因反复多次关节外伤继发引起的髋关节病变。常见原因多见于脊髓痨和脊髓空洞症,麻风、糖尿病、周围神经损伤、脊䯝肿瘤等疾病也可伴发。


病理:髋关节保护性感觉丧失,关节多次损伤后迅速退变、破坏,软骨剥落进入关节腔,软骨下骨硬化、碎裂;关节囊和韧带松驰,关节脱位,骨折修复性改变。


临床表现:病程长,多单侧受累,有外伤诱因,关节肿大,疼痛不明显,痛觉消失,深反射消失。


影像诊断:首先X线平片。


1、平片:早期关节内积液、软组织肿胀、关节间隙增宽;进展期股骨头关节面变平、关节内游离体,关节旁钙化及骨化,关节脱位;晚期骨端破坏、大量骨赘形成,反应性骨膜增生。


2、CT:早期髋关节积液,周围软组织水肿;随病情进展,骨端增生硬化,边缘骨赘形成,游离体;后期,骨端崩解,关节正常结构破坏,关节腔大量坏死骨块和钙化的软骨碎屑,周围软组织骨化、钙化,增强显示关节囊及滑膜囊明显强化、呈绒毛状突向关节腔。


3、MRI:早期关节积液,软骨变性、破坏,继而关节软骨碎裂、形成游离体,软骨下骨增生硬化、骨赘形成;*终骨赘断裂、骨端碎裂、关节结构消失,骨残端无明显水肿和骨髓浸润征象。增强显示关节囊及滑膜囊明显强化、呈绒毛状突向关节腔,骨残端无明显强化。




快速破坏性髋关节病


是一种不知确切病因而侵犯股骨头及髋臼导致髋关节在短时间内快速破坏的髋关节疾病。


病理:股骨头变小,负重区扁平,关节面软骨消失,软骨下骨破坏、碎片状骨坏死,骨小梁硬化、增粗。


临床表现:多发生于60岁以上老年女性,多一侧发病,无明显原因髋关节疼痛,之后逐渐加重,后期出现功能受限和跛行。


影像诊断:首选X线平片,髋关节正位及蛙式位。


1、平片:髋关节间隙进行性消失是本病特征;早期股骨头无明显变化,数月间股骨头上方进展性破坏吸收,股骨头变扁,无囊变,骨赘增生不显著,周围软组织无明显异常。


2、CT:股骨头负重区骨质溶骨样改变,骨质碎裂的,关节面软骨大片状剥脱皲裂,头*骨质呈小圆形颗粒状改变,软骨下骨的连续性破坏,头外形不规则缺损,碎骨片线状分离。


3、MRI:股骨头及髋臼骨质吸收伴软骨丢失,股骨头向上外方移位,关节内积液,骨髓未见明显异常。




特发性髋关节软骨溶解症


是儿童期髋臼和股骨头的关节软骨在无明显诱因下,发生弥漫性减少甚至消失的原发性关节病。


病理:滑膜水肿,浆细胞及淋巴细胞、滑膜细胞增生等非特异性炎性反应,关节软骨表层细胞坏死消失,基层中胶原纤维裸露和节段性断裂,深层软骨细胞退行性改变。滑膜增生,但没有绒毛样增生和肉芽组织形成。


临床表现:好发于儿童,平均年龄11岁,女孩多见,起病隐匿,髋关节、大腿前侧或膝关节疼痛,不伴发热等全身症状。髋关节屈曲、内旋受限,晚期出现髋关节强直。血沉及血常规正常。


影像诊断:X线平片首先检查方法。


1、平片:早期股骨头及髋臼骨质疏松,关节间隙变窄小于3mm,股骨头颈增宽,髋臼外缘突出,后期髋臼软骨溶解,头臼内半脱位,股骨颈萎缩甚至碎裂、消失,晚期关节间隙不同程度增宽,股骨头骨骺外缘过度生长,髋臼Y形软骨及股骨近端骺板提前闭合,关节间隙进一步狭窄,髋关节纤维性或骨性强直。


2、MRI:髋关节软骨变薄,局限性破坏,从*向四周扩散,股骨近端软骨板破坏,骺板闭合;关节间隙逐渐变窄、融合,股骨颈、头畸形,骨髓水肿,但滑膜无明显改变;周围肌肉可见萎缩。




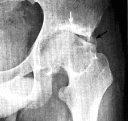
髋关节色素沉着绒毛结节性滑膜炎


一种侵及关节、腱鞘、滑囊或肌腱组织的良性增生伴色素沉着性病变。一般单关节发病,*常累及膝关节,其次是髋关节、踝关节、肩关节、肘关节。


病理:表面凹凸不平,有绒毛状滑膜皱襞覆盖,累及关节囊及周围软组织内血管和神经结构。


临床表现:以20-40岁青年女性多见,多有髋部外伤史,早期无特征,进展缓慢。


影像诊断:早期诊断缺特异性,晚期出现典型骨质破坏。MRI检查具较强特异性及定性诊断作用。




十一


血友病性髋关节炎


血友病患者关节内反复出血所致关节退行性病变,好发于活动多和承受重力的关节,*常累及膝、肘、踝关节,髋关节较少。


病理:关节内出血刺激滑膜炎症反应、增生、绒毛形成,关节囊及滑膜增厚、纤维化,软骨下出血可致软骨坏死脱落,骨质增生、囊变,关节畸形或纤维强直,儿童骨骺增大、骺板提前闭合。


临床表现:男性,儿童多见,关节肿胀,肌肉萎缩,多脏器出血症状,实验室凝血异常。


影像诊断:X线平片典型改变可确诊,CT及MRI可清晰显示软骨及腔内改变。


1、平片:早期髋关节间隙增宽,关节囊肿胀,软组织密度增高,骨性关节面光。中后期出现骨侵蚀,关节间隙狭窄或消失,软骨下骨板致密,边缘骨赘形成及囊变,儿童骨骺增大、骺板提前闭合。


2、CT:髋关节腔内高密度或钙化,关节囊增厚,软骨下骨质小圆形和不规则软组织密度区,伴周围硬化缘,正常骨纹理消失,骨端骨质疏松。长期者呈骨性关节炎改变。


3、MRI:髋关节腔内出血为特征表现,滑膜及关节囊明显增厚,增强有明显强化;晚期关节面下硬化性病灶,骨质囊变,软骨坏死,纤维组织增生,陈旧性出血改变。



十二


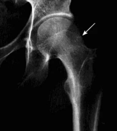
髋关节撞击综合征


也称股骨髋臼撞击综合征,是由于股骨近端和髋臼盂缘间解剖的异常,或解剖正常但长期不正常外力作用于髋关节,导致两者长期不正常接触、碰撞,产生反复的微型创伤致使关节盂缘和关节软骨退变,从而引起慢性髋关节疼痛及髋关节屈曲和内收受限的疾病。分为凸轮撞击和钳夹撞击两个类型。


病理:股骨头软骨呈明显退变现象,关节唇骨化、瘢痕化、体积增大、软骨下撕裂。


临床表现:凸轮撞击多见于喜欢运动的青年男性,钳夹撞击多见于活动较多的女性。典型表现为腹股沟区疼痛,通常在活动或久坐后加剧,呈间歇性,后期呈持续性。病变常呈单侧性,查体时髋关节活动受限,撞击试验阳性。


影像诊断:X线平片是基本检查方法,直立骨盆正位及髋关节侧位片。


平片:①凸轮撞击型,正位片示头颈连接处扁平,呈“左轮枪柄”样畸形,侧位片示股骨头颈凹陷减少,*边缘角变小<16度,②钳夹撞击型,髋臼窝过深,髋臼后倾,呈相交8字征,偏心距缩短<9mm。


CT:三维CT可测量股骨头颈连接处前外侧偏移量减低,股骨头颈联合处前上缘可见骨性突起。


MRI:股骨头颈凹陷减少(α>50°),股骨颈宽度与股骨头半径比率增大,髋臼后倾。盂缘退行性改变,撕裂、囊肿,关节间隙后期出现狭窄,周围肌肉炎症。






手术室健康宣教

一觉醒来落枕了,怎么办?千万别乱按,正确的做法是......

科普:骨折的并发症

膝盖总疼?治疗师的康复建议来了!15个膝关节康复锻炼方法,供你选择

股骨头坏死的*疗法、康复锻炼和饮食

髋、膝关节病免费普查及置换术补贴活动正式在我院开展!

【收藏】颈、肩、腰、腿健康操,*指导





安阳黄塔骨科医院,是在具有400百年历史的黄塔明氏正骨基础上发展起来的,一所我市*一家由国家卫生部门批准的以传统骨科、手法复位为特色的骨科专科医院,是安阳市医保定点医院,。由河南省非物质文化遗产代表性传承人明朝庆、明朝敬组建。我院采用家传、明氏手法正骨术为*,专治各类型骨折、骨折不愈合、股骨头坏死、各类颈肩腰腿关节疼痛等骨科疾病,受到广大患者的认可


















地址:安阳市东工路与紫薇大道交叉口向北200米路西(人民公园东门向南100米路西)

电    话:0372--3667120   0372-3159120

明院长:15503720622

公交路线

19路到安阳市人民公园东门临时站下车,向南150米路西

1路/11路/25路/到郭家街站下车向东100米左转200米路西



扫码关注更多精彩



文本编辑:安阳黄塔骨科
安阳黄塔骨科医院
联系人:明院长  电话:13937274222   联系电话: 0372-3667120
地址:人民公园东门向南100米路西   
地址:安阳市东工路与紫薇大道交叉口向北200米路西

备案号:豫ICP备19004172号-2