热烈祝贺我院成功
晋升二级骨科专科医院
×
欢迎进入安阳黄塔骨科网站!
这是安阳黄塔骨科的LOGO 这是安阳黄塔骨科的联系电话
联系我们 /SITUATION

安阳黄塔骨科医院

联系人:明院长  电话:13937274222   联系电话: 0372-3667120

地址:人民公园东门向南100米路西   
地址:安阳市东工路与紫薇大道交叉口向北200米路西
版权所有:安阳黄塔骨科医院

收藏!放射科急诊夜班时可能会遇到的100张图像


急诊急救是临床医疗工作的重要组成部分,能够充分体现一个临床医师的诊疗和应急水平;同时,急诊急救水平的高低,也是衡量一个医院整体医疗水平优劣的重要指标,由于急症急救的复杂性、紧迫性和不可预知性,要求临床医师*在*短的时间里,做出*正确的诊断,拟定好*的治疗方案。放射线科在急诊急救中,为临床医师提供了重要参考信息和诊断依据,发挥了不可替代的作用,现将常见的急诊病例做以总结,与大家共同分享,不足之处,欢迎指正!







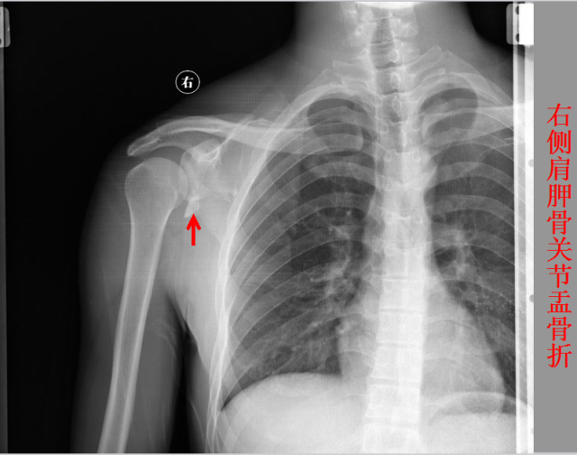
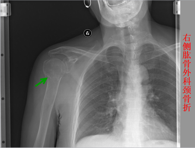
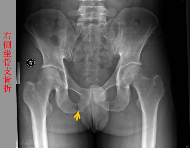
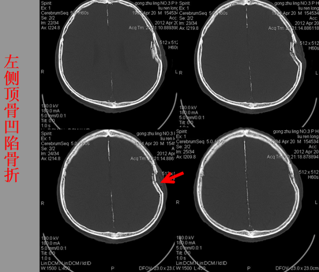
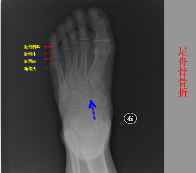
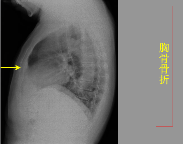
骨折篇

01


定义:骨折{Fracture}是指骨的完整性和连续性的折裂或粉碎。包括创伤性骨折、疲劳性骨折和病例理性骨折。 临床上以创伤性骨折*常见。





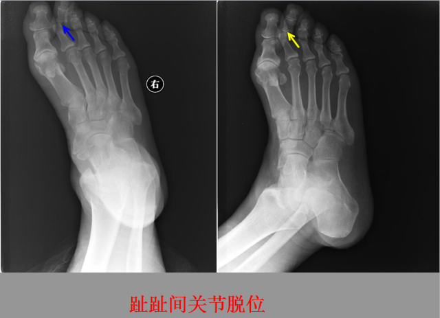
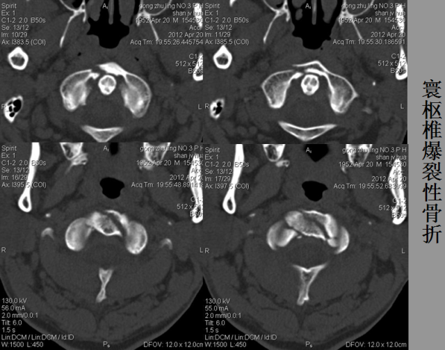
关节脱位篇

02


定义:关节脱位是暴力、关节感染、附近软组织挛缩或先天骨发育障碍造成的关节对位关系部分或完全脱离,即为半脱位或脱位。临床上以创伤性脱位*常见。







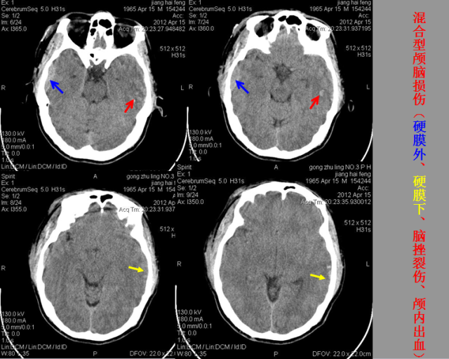
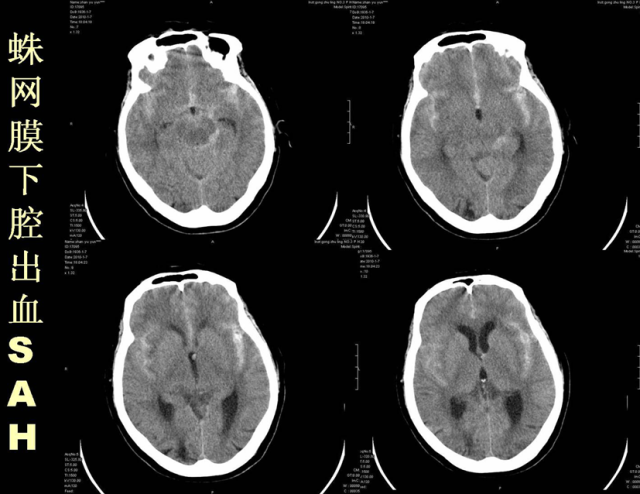
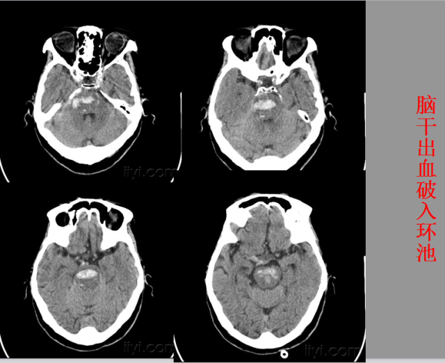
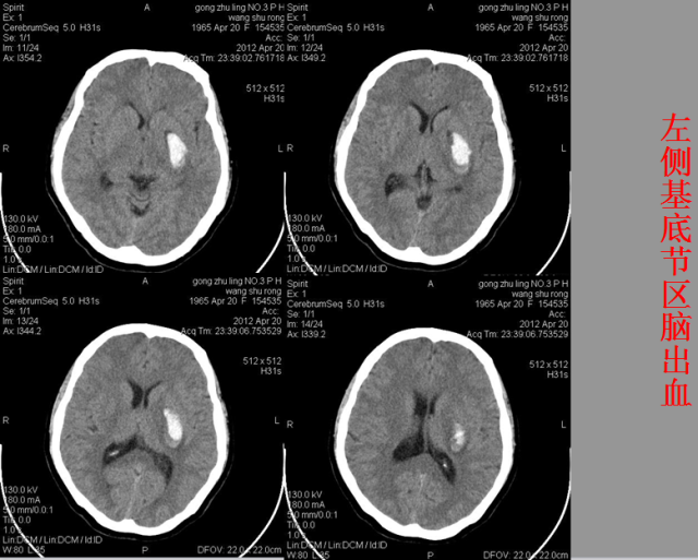
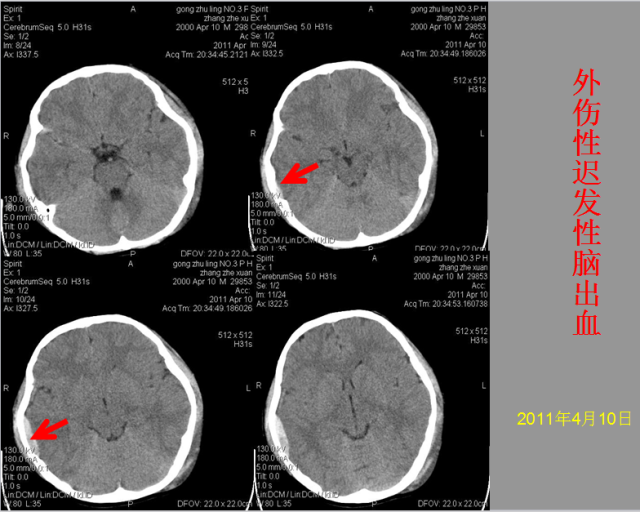
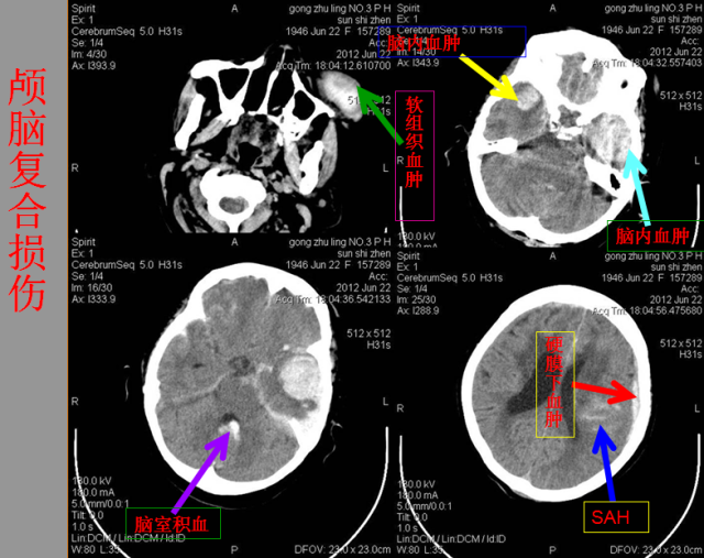
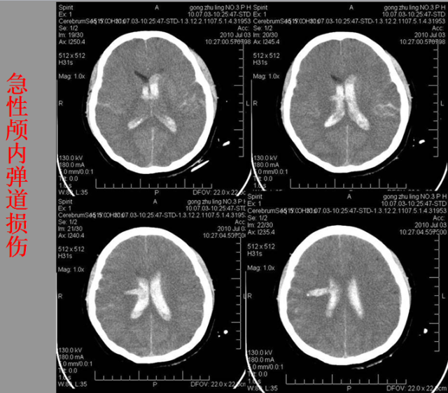
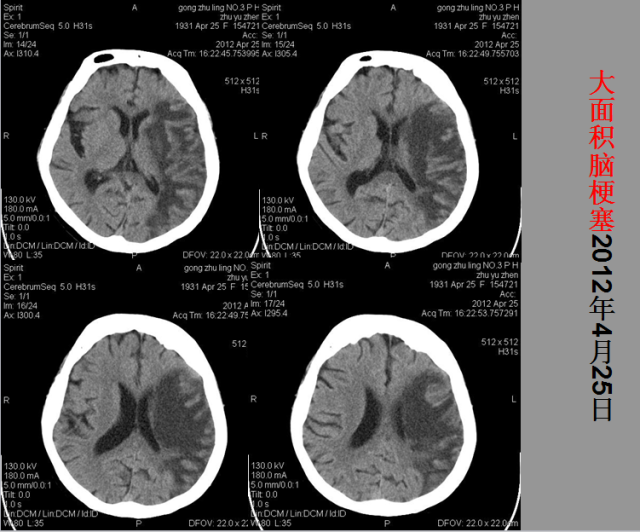
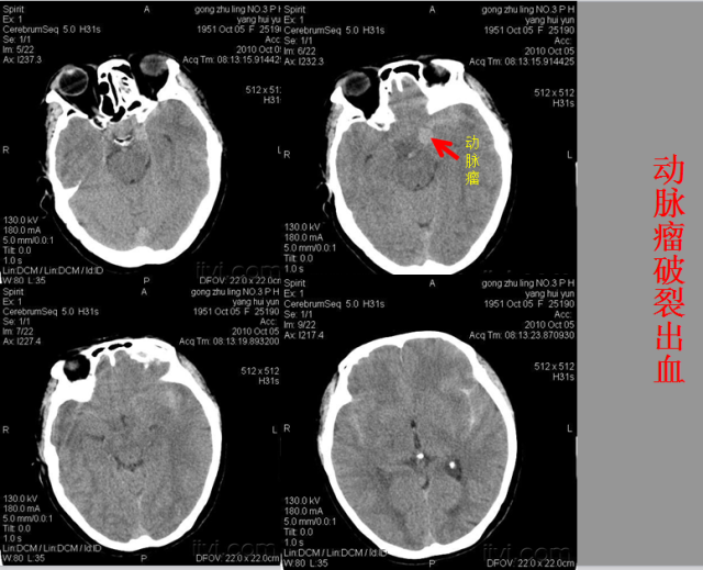
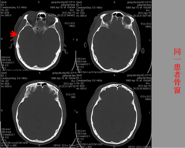
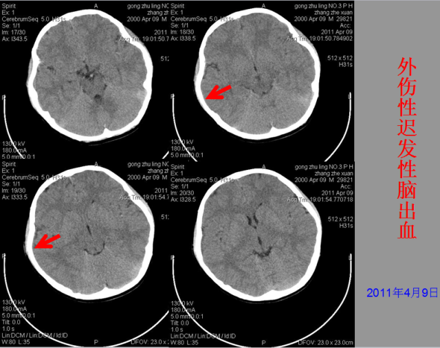
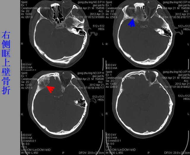
急性颅脑损伤篇

03







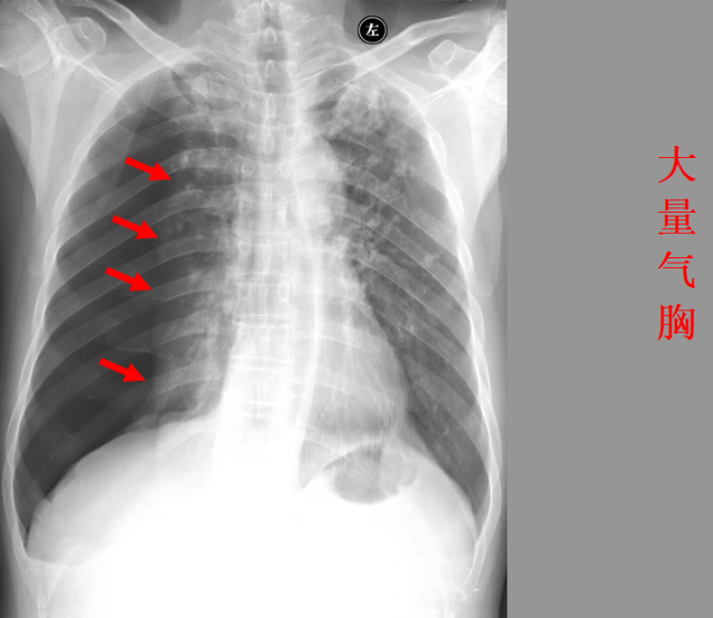
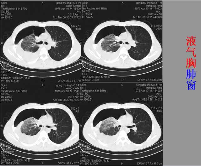
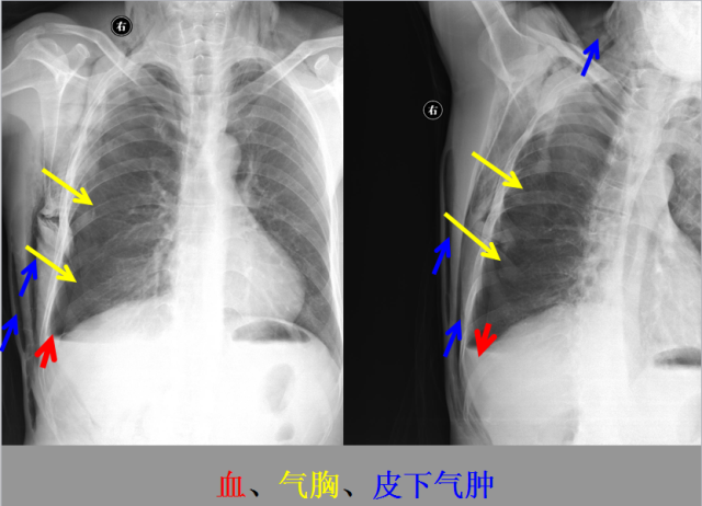
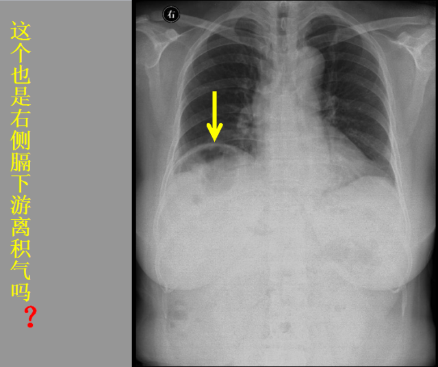
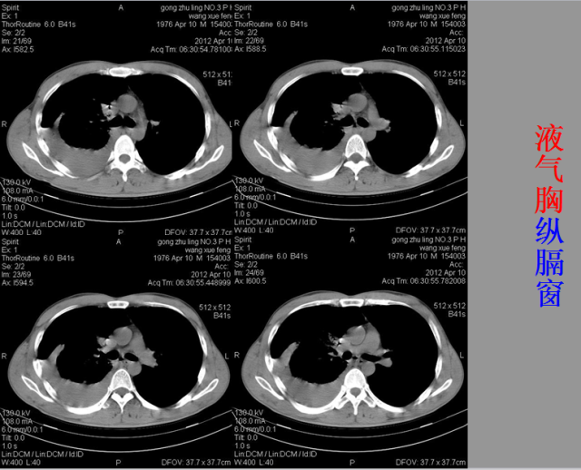
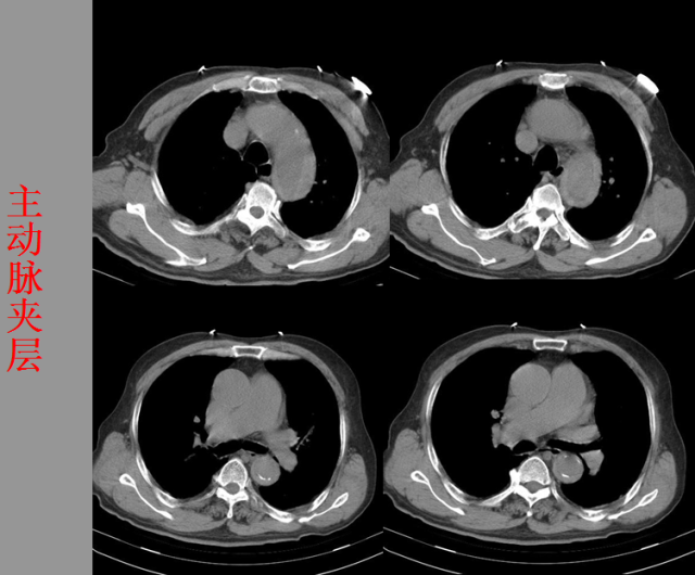
急胸症篇

04










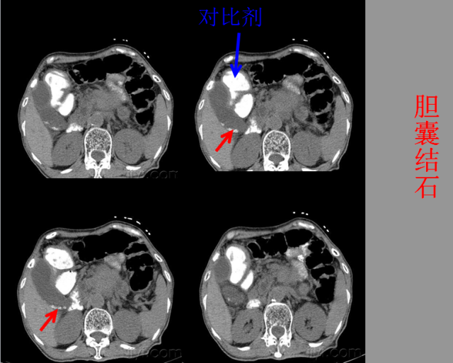
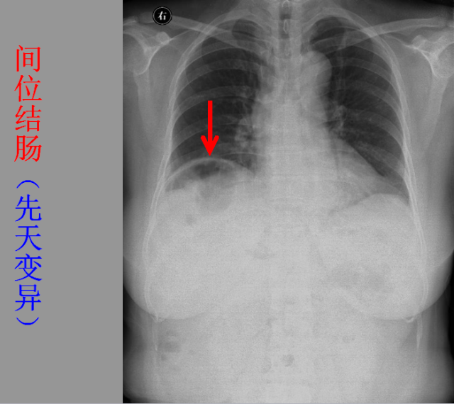
急腹症篇

05














手术室健康宣教

一觉醒来落枕了,怎么办?千万别乱按,正确的做法是......

科普:骨折的并发症

膝盖总疼?治疗师的康复建议来了!15个膝关节康复锻炼方法,供你选择

股骨头坏死的*疗法、康复锻炼和饮食

髋、膝关节病免费普查及置换术补贴活动正式在我院开展!

【收藏】颈、肩、腰、腿健康操,*指导





安阳黄塔骨科医院,是在具有400百年历史的黄塔明氏正骨基础上发展起来的,一所我市*一家由国家卫生部门批准的以传统骨科、手法复位为特色的骨科专科医院,是安阳市医保定点医院,。由河南省非物质文化遗产代表性传承人明朝庆、明朝敬组建。我院采用家传、明氏手法正骨术为*,专治各类型骨折、骨折不愈合、股骨头坏死、各类颈肩腰腿关节疼痛等骨科疾病,受到广大患者的认可


















地址:安阳市东工路与紫薇大道交叉口向北200米路西(人民公园东门向南100米路西)

电    话:0372--3667120   0372-3159120

明院长:15503720622

公交路线

19路到安阳市人民公园东门临时站下车,向南150米路西

1路/11路/25路/到郭家街站下车向东100米左转200米路西



扫码关注更多精彩
文本编辑:安阳黄塔骨科
安阳黄塔骨科医院
联系人:明院长  电话:13937274222   联系电话: 0372-3667120
地址:人民公园东门向南100米路西   
地址:安阳市东工路与紫薇大道交叉口向北200米路西

备案号:豫ICP备19004172号-2